La degenerazione maculare senile è una malattia che colpisce la MACULA (vedi disegno a destra), la porzione centrale della retina che permette la massima acuità visiva e quindi il riconoscimento degli oggetti e dei colori, indispensabile per comportamenti di vita come leggere o guidare.
La degenerazione maculare senile si verifica quando lo strato della retina responsabile di nutrire coni e bastoncelli - le cellule della macula sensibili alla luce - e di trasportare via i prodotti di rifiuto derivanti dal metabolismo, comincia a svolgere queste funzioni con minore efficacia a causa dell'invecchiamento. Di conseguenza le cellule della macula si deteriorano, causando la perdita della visione nella parte centrale del campo visivo ma lasciando intatta la visione periferica.
Nella maggior parte dei casi, è una malattia lenta, progressiva ed indolore che spesso colpisce entrambi gli occhi, generalmente uno dopo l'altro. Una volta fatta la diagnosi di degenerazione maculare senile, possono passare anche dieci anni prima che si abbia una perdita della visione considerevole.
Esistono due forme cliniche di DMS: “secca” e “umida”
DEGENERAZIONE MACULARE SECCA O ATROFICA
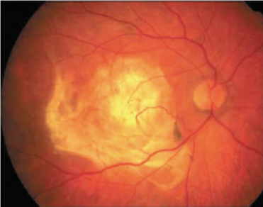
Con l’invecchiamento compaiono a livello della macula lesioni caratteristiche denominate drusen, che all’esame del fondo oculare appaiono come chiazzette bianco-giallastre. Sono accumuli di detriti cellulari non smaltiti come avviene normalmente, che si depositano al di sotto della retina (la presenza di queste lesioni rimane asintomatica). Col tempo l’accumularsi delle drusen può causare un danno dei fotorecettori della (la macula appare “secca”-“atrofica”) con conseguente riduzione della visione centrale più o meno grave. L’atrofia maculare è responsabile del 20% dei casi di cecità legale da degenerazione maculare senile.
![]() |
![]() |
![]() |
A sinistra: macula sana. Al centro: drusen confluenti (frecce nere). A destra: forma secca della degenerazione maculare senile con atrofia della macula (frecce bianche) e drusen (frecce nere)
DEGENERAZIONE MACULARE UMIDA O ESSUDATIVA
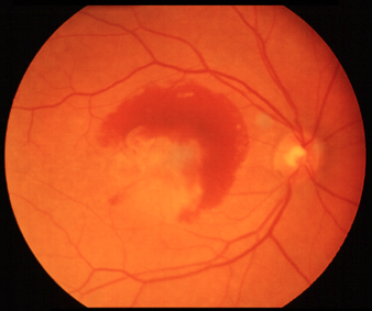
Le alterazioni sopra descritte rappresentano una situazione di rischio perché si sviluppino al di sotto della retina dei nuovi vasi sanguigni (neovasi) con l’intento di portare nuovi nutrienti e nuovo ossigeno alla retina in difficoltà. Questi neovasi però sono alla base dell’evoluzione umida (neovascolare) della DMS poiché avendo pareti fenestrate (non continenti) perdono liquidi e/o sangue e infiltrandosi nello spessore della retina ne distruggono l’architettura. Rispetto alla forma secca il processo neovascolare-essudativo è rapidamente ingravescente e si conclude con la formazione di un’ampia cicatrice maculare in cui i fotorecettori risultano distrutti. A questo punto la visione centrale è gravemente e irrimediabilmente compromessa. La forma umida è responsabile dell’80% dei casi di cecità legale da degenerazione maculare.
![]() |
![]() |
![]() |
A sinistra e al centro: forma umida della degenerazione maculare senile con emorragia maculare. A destra: stadio finale con cicatrizzazione della macula (maculopatia disciforme)
Fattori di rischio
Sebbene le cause non siano ancora pienamente conosciute, gli studiosi riconoscono che la combinazione di alcuni fattori espone alla malattia.
- Età: l'età è il principale fattore di rischio per la degenerazione maculare senile. Invecchiando il rischio di sviluppare la malattia cresce considerevolmente.
- Dieta e alimentazione: le cellule sensibili della macula sono estremamente suscettibili al danno dei radicali liberi. Ricerche scientifiche hanno mostrato che persone che assumono basse quantità di antiossidanti -nutrienti presenti negli alimenti che combattono gli effetti negativi dei radicali liberi nell'organismo - corrono maggiormente il rischio di sviluppare la Degenerazione maculare senile. Anche l'alcool può ridurre la quantità degli antiossidanti presenti nell'organismo. Alti livelli di grassi saturi e di colesterolo, oltre ad essere dannosi per i vasi sanguigni, sono anche coinvolti nella produzione di radicali liberi che possono danneggiare la macula.
- Luce solare: le cellule della macula sono molto sensibili alla luce solare. Il danno cellulare dovuto all'esposizione al sole può portare, nel tempo, al deterioramento della macula per formazione di radicali liberi.
- Fumo: il fumo, riducendo la quantità di antiossidanti protettivi presenti nell'occhio, aumenta di oltre il doppio il rischio di comparsa della degenerazione maculare senile. La malattia si manifesta con una frequenza più che doppia nelle persone che fumano oltre un pacchetto di sigarette al giorno rispetto ai non fumatori e che il rischio rimane alto anche 15 anni dopo aver smesso.
- Ereditarietà: sebbene la degenerazione maculare non sia ereditaria, alcuni studi indicano che si può avere un rischio maggiore di sviluppare tale patologia se uno o più parenti prossimi ne soffrono.
- Sesso e razza: una donna di oltre 75 anni ha il doppio di probabilità di sviluppare la degenerazione maculare senile rispetto a un uomo della stessa età. Nelle donne anche la menopausa può aumentare il rischio di sviluppare questa condizione, a causa dell'abbassamento dei livelli di estrogeni. La terapia ormonale sostitutiva potrebbe avere un effetto protettivo contro la degenerazione maculare senile ma sono necessarie maggiori ricerche in questo settore. I soggetti di razza bianca hanno una probabilità più alta rispetto a quelli di razza nera di subire un danno alla vista a causa di questa patologia.
- Malattie cardiache e ipertensione: anche le persone che hanno la pressione sanguigna elevata o soffrono di cardiopatie possono presentare un maggior rischio di sviluppare la degenerazione maculare senile, a causa della ridotto apporto sanguigno a livello degli occhi e in particolare della macula.
Sintomi
La degenerazione maculare senile può manifestarsi con modalità differenti e, nei primi stadi della malattia, è anche possibile che non si avverta alcun disturbo della visione, soprattutto se un solo occhio è interessato. Quando le cellule della macula si deteriorano, la capacità di vedere inizia ad alterarsi. Gli oggetti sembrano cambiare forma, dimensioni o colore e può sembrare che si muovano o che scompaiano. La visione inizia ad essere sfocata, può verificarsi una distorsione visiva delle linee rette oppure possono comparire macchie scure al centro del campo visivo. La distorsione delle immagini è un sintomo frequente all’insorgere della forma umida neovascolare e deve indurre ad una visita oculistica urgente.Quando è giunta aduno stadio avanzato, produce un'area circolare di cecità che, alla normale distanza di lettura, può impedire di leggere gran parte delle parole. Tuttavia, quasi tutte le persone colpite da questa malattia mantengono una visione periferica che consente loro una sufficiente autonomia.
Epidemiologia
La degenerazione maculare senile è la prima causa di cecità legale o di grave calo visivo nella popolazione occidentale con più di 65 anni. A causa dell’incremento della vita media il calo visivo determinato dalla degenerazione maculare senile assumerà sempre più importanti risvolti sociali. Studi attuali stimano che circa 1,75 milioni di cittadini americani siano affetti da un calo della vista da degenerazione maculare senile e che questo numero si destinato ad aumentare a circa 3 milioni nel 2020. La degenerazione maculare senile ha una prevalenza che varia dal 8.5% al 11% nella fascia di età compresa tra i 65 e i 74 anni, e del 27% al di sopra dei 75 anni.





